Анотація: клінічний перебіг ускладнених форм апендициту та тактика хірурга. Апендикулярний інфільтрат і абсцес. Пілефлебіт. Особливості післяопераційного ведення хворих.
Апендикулярний інфільтрат
У практиці трапляється ситуація, коли хірург, не зібравши ґрунтовного анамнезу і не будучи уважним при об'єктивному обстеженні, може наштовхнутись на апендикулярний інфільтрат.
При цьому в жодному випадку не слід робити спроб роз'єднання інфільтрату з метою видалення паростка, оскільки якщо навіть і не будуть пошкоджені тканини, то самі маніпуляції ведуть до порушення створеного біологічного бар'єра і можливого перитоніту. Тому доцільніше обмежитись дренуванням і введенням у черевну порожнину антибіотиків. Крім того, бажано виконати блокаду заочеревинного простору за Ковтуновичем із введенням 150-200 мл 0,5% розчину новокаїну з канаміцином і гідрокортизоном з метою розсмоктування інфільтрату, зняття набряку довколишніх тканин, попередження розвитку злукового процесу. В центрі інфільтрату визначається розм'якшення - абсцедування, то, пройшовши по парієтальній очеревині інфільтрат відтісняють медіально і пальцем обережно розкривають порожнину абсцесу Його дренують, а інфільтрат обкладають серветками, які виводять через рану. В тих випадках, коли абсцес розкритий через згаданий доступ або пряму кишку чи піхву важко, тоді його розкривають через типовий доступ. Недопустимим є видалення вторинно зміненого паростка, оскільки це створює загрозу інфікування і утруднює подальший хід операції. В усіх випадках залишення паростка при доступі Дьяконова-Волковича або видалення його через серединний доступ, крім відображення цього моменту в протоколі, хворі повинні бути попереджені. Слід пам'ятати, що операція для більшості хворих - це лише початок лікування гострого апендициту, оскільки вони після операції нерідко направляються в палату інтенсивної терапії чи навіть у реанімацію з метою своєчасної діагностики і попередження післяопераційних ускладнень.
Деякі особливості післяопераційного ведення хворих
Найкращими заходами для попередження легеневих ускладнень є раннє вставання, лікувальна гімнастика, масаж грудної клітки. Якщо у хворих розпочались ускладнення з боку органів дихання у вигляді пневмонії, то найкращим методом лікування є внутрішньотрахеальне введення антибактеріальних препаратів, інгаляції. Хворим, схильним до венозної патології, в похилому віці та при деструктивних формах апендициту, в тому числі і з явищами місцевого перитоніту і підвищеними показниками системи зсідання крові, після операції вводяться антикоагулянти. При серцевій патології і в похилому віці
призначають серцеві препарати. Знеболюючі застосовують у перші 3-4 доби. При гангренозному чи перфоративному апендициті, де виражені явища інтоксикації, парезу кишечника, а іноді й перитоніту, слід застосовувати більш енергійну терапію. Довенно вводять розчини, переливають білкові препарати, а при перитоніті проводять і парентеральне живлення до відновлення функції кишечника. Роботу кишківника відновлюють електростимуляцією, застосуванням гіпертонічних розчинів. У схему лікування включають антибактеріальні препарати широкого спектра дії, які при тривалому використанні змінюють. Трубки в черевній порожнині міняють на 4-5 день з метою попередження розвитку пролежнів, а тампони видаляють на 6-8 день - поетапно, поступово витягуючи їх з рани протягом 2-3-х днів, таким чином формують щільний канал, що перешкоджає поширенню інфекції. Якщо абсцес за цей час ще не повністю очищається, то тампони можна поміняти на нові, а ще краще у сформований канал ввести дренажну рурку, яка дозволяє проводити санацію гнійної порожнини.
Апендикулярний абсцес
Об'єктивним критерієм сприятливого протікання післяопераційного періоду є нормалізація температури тіла, оскільки найменша затримка гною, неефективне дренування або формування нової гнійної порожнини проявляється гектичним характером температурної кривої. В таких випадках перш за все слід виключити можливість нагноєння в рані. Вже на
другий день після операції її ґрунтовно оглядають на предмет гіперемії країв, пальпаторно визначають наявність болючих інфільтратів, що вказують на початок нагноєння в рані. Якщо з'являється флюктуація, то гнійник розкривають шляхом зняття швів з подальшою санацією і дренуванням рани. Поєднання стійкої високої температури тіла з болями в животі і парезом кишківника свідчить про формування гнійника в черевній порожнині. Якщо болі концентруються в правій здухвинній ділянці з явищами подразнення очеревини і наявністю інфільтрату, то під загальним знеболюванням широко розкривають рану аж до гнійника. Гнійник дренують, видаляють гній, порожнину санують розчином діоксидину, а рана залишається не зашитою.
Осумковані гнійники найчастіше утворюються в ілеоцекальній ділянці після деструктивних форм апендициту, нагноєння гематоми, при порушенні цілості кишки, залишенні сторонніх тіл у черевній порожнині, неповному видаленні черв'якоподібного паростка, наявності абсцедуючого інфільтрату. Дещо рідше зустрічаються абсцеси Дугласового простору, міжкишкові, піддіафрагмальні, підпечінкові.
Пілефлебіт
Пілефлебіт як грізне ускладнення апендициту супроводжується смертністю у 90-98% випадків. При цьому запально-деструктивний процес із гангренозно зміненого паростка переходить на його брижу і, природно, в судини системи ворітної вени, поступово поширюючись на брижові вени ілеоцекального кута, а потім по системі верхньої брижової вени - в ворітну і печінкові вени. Це найбільш грізне ускладнення гострого апендициту та інших захворювань черевної порожнини, оскільки випадки виліковування цієї патології надзвичайно рідкі. Згідно з даними деяких авторів, це можливо лише тоді, коли рано перев'язати здухвинно-ободові вени або виконати резекцію ілеоцекального кута в межах здорових тканин. Швидко поширюючись на брижові вени ілеоцекального кута, запальний процес через 2-3 дні досягає ворітної і печінкових вен. Крім того, він у ретроградному напрямку може поширюватись на селезінкову та інші брижові вени.
Зразу після апендектомії без світлого проміжку у хворих підвищується температура тіла і наростають явища важкої гнійної інтоксикації. Об'єктивно визначається метеоризм, рівномірна болючість прався половини живота без ознак подразнення очеревини. З прогресуванням процесу стан хворого різко погіршується, він втрачає у вазі, з'являється жовтяниця, збільшується в розмірах печінка, температура тіла набуває гектичного характеру, тобто наявний септичний стан. Болі переміщуються в верхню частину черевної порожнини, на фоні вираженої інтоксикації з'являються ознаки печінково-ниркової недостатності. При масивній протизапальній терапії пілефлебіт має затяжний стан, ознаки набувають стертого характеру на фоні попередньої динаміки протікання захворювання.
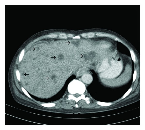
В міру поширення процесу на печінкові вени з 'являються клінічні ознаки синдрому Кіарі - поряд із збільшеною печінкою, жовтяницею збільшується в розмірах селезінка і виникає асцит Хворі помирають від множинних абсцесів печінки. У них спостерігається значне підвищення загальної згортальної і зниження антизгортальної активності крові - вкорочується час згортання, підвищується толерантність плазми до гепарину, знижується рекальцифікація плазми, вміст гепарину і гальмування фібринолізу. Ці зміни наростають, починаючи з 3-4-го дня після операції. В цей час можливі й такі ускладнення, як емболія гілок легеневої артерії з інфаркт-пневмоніями, а іноді й абсцедування легеневої паренхіми. З метою попередження таких ускладнень і лікування пілефлебіту хворим поряд з інтенсивною протизапальною терапією призначають великі дози гепарину під контролем коагулотрами, тромбоеластограми і відповідно, процесу зсідання крові Рівень протромбіну в крові хворих слід утримувати в межах 30-50% протягом 15-20-и діб.
У хворих, крім головного болю, загальної слабкості, з'являється пронос, висока температура тіла супроводжується ознобом і заливними потами, тони серця стають ослабленими, пульс у межах 120 і більше ударів, слабкого наповнення і напруження, живіт помірно здутий і болючий при пальпації. Спочатку болючість поширюється в напрямку від правої здухвинної ділянки у праве Х підребер’я, а потім по всьому животу. В крові спостерігається вираженій лейкоцитоз зі зсувом лейкоцитарної формули вліво, зниження числа еритроцитів і кількості гемоглобіну.
При лікуванні досить ефективною є катетеризація пупкової вени з метою введення антибіотиків широкого спектра дії, антикоагулянтів на 5% глюкозі, поліглюкіну і реополіглюкіну.
Найбільш ефективним є внутрішньоаортальне введення антибіотиків у поєднанні з катетеризацією пупкової вени для проведення інтенсивної протизапальної, антикоагулянтної і дезінтоксикаційної терапії. Недостатнім є проведення лише протизапальної терапії, що виконується звичайним стандартним шляхом. Поєднання такої терапії з антикоагулянтами дещо полегшує протікання даної патології. Вона все ж таки може бути успішною, якщо її розпочати зразу після операції, особливо в тих випадках, коли не виконано видалення брижі паростка разом з просвічуваними тромбованими венами аж до її кореня, який знаходиться позаду кінцевого відділу здухвинної кишки. Якщо лікування розпочато в більш пізні терміни, то навіть катетеризація пупкової вени не зможе вберегти хворого від розвитку множинних абсцесів у печінковій паренхімі. Але якщо навіть у процесі розвитку вираженої картини пілефлебіту катетеризувати аорту і проводити інтенсивну протизапальну і антикоагулянтну терапію поряд із дезінтоксикаційною, то можна досягти зворотного розвитку процесу і випередити абсцедування в печінці, врятувати хворого від неминучої смерті.





